明星产品
干货推荐
关注我们
扫码关注我们
了解更多信息
客户案例1:
中国科学技术大学客户发表于CELL,IF=41.582
文章标题:Moderate UV Exposure Enhances Learning and Memory by Promoting a Novel Glutamate Biosynthetic Pathway in the Brain
使用方法:AAV9脑立体定位注射海马,注射体积0.5ul/侧,病毒滴度1.33×1012 v.g/mL

文章figure5 UVB暴露对谷氨酸能突触从HPC CA3传递到CA1的影响
客户案例2:
中国科学院客户发表于Cell Research,IF=25.617
文章标题:METTL3-mediated N6-methyladenosine mRNA modification enhances long-term memory consolidation
使用方法:AAV2/DJ脑立体定位注射背侧海马,位置(AP = −1.9 mm,ML =±1.2mm,DV =-1.3mm), 注射速度0.1ul/min,病毒滴度1.0–1.2 × 1012 v.g/ml

文章figure7 METTL3介导的m6A修饰调节长期记忆模型
客户案例3:
浙江大学客户发表于Nature Neuroscience,IF=24.884
文章标题:Laterodorsal tegmentum interneuron subtypes oppositely regulate olfactory cue-induced innate fear
使用方法:AAV2/9脑立体定向注射, 位置LHb (AP, −1.8 mm from bregma; ML, ±0.3 mm; DV, −2.5 mm)右侧LDT (AP, −5.2 mm from bregma; ML, −0.4 mm; DV, −3.5 mm),注射体积0.3–0.5 µl /点,注射速度0.05 µl /min,病毒滴度1.0×1012v.g/ml

文章figure4 LDT中的PV+和SOM+中间神经元反向调节先天性恐惧
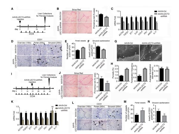
客户案例1:
南方医科大学客户发表于CELL,IF=41.582
文章标题:LECT2, a Ligand for Tie1, Plays a Crucial Role in Liver Fibrogenesis
使用方法:AAV9型尾静脉注射,注射容积100ul,病毒滴度1.0 × 1012v.g/ml
文章figure7 AAV9-LECT2-shRNA减轻肝纤维化
客户案例2:
南京大学客户发表于Nature Communications,IF=14.949
文章标题:CUG-binding protein 1 regulates HSC activation and liver fibrogenesis
使用方法: AAV9静脉注射,病毒滴度1.0 × 1012v.g/ml

文章figure8 HSC中的CUGBP1促进BDL诱导的鼠肝纤维化
客户案例3:
中国药科大学客户发表于Nature Neuroscience,IF=24.884
文章标题:Angptl8 mediates food-driven resetting of hepatic circadian clock in mice
使用方法:AAV8型尾静脉注射,病毒滴度1.0 × 1012v.g/ml

文章figure9 Angptl8敲低可通过食物抑制肝脏时钟重置
客户案例1:
中国药科大学客户发表于European heart journal,IF=29.983
文章标题:Neuraminidase 1 is a driver of experimental cardiac hypertrophy
使用方法:AAV9尾静脉注射,每只小鼠100 μl,病毒滴度1×1012 v.g/ml

Figure 4在生理条件下,NEU1在小鼠心脏的过表达导致心肌肥大和重构
客户案例2:
航天医学基础与应用国家重点实验室客户发表于Circulation,IF=29.69
文章标题:Targeting E3 Ubiquitin-Ligase WWP1 Prevents Cardiac Hypertrophy Through Destabilizing DVL2 via Inhibition of K27-Linked Ubiquitination
使用方法:AAV9静脉注射,注射体积1x1011 V.g/小鼠

Figure 7 以WWP1为治疗靶点,通过抑制DVL2-CaMKII-HDAC4-MEF2C通路抑制压力过载诱导的心肌肥厚
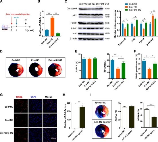
客户案例3:
空军军医大学客户发表于Circulation Research,IF=14.467
文章标题:Longterm Exercise-Derived Exosomal miR-342-5p: A Novel Exerkine for Cardioprotection
使用方法: AAV9大鼠心肌内注射,病毒剂量6× 1010v.g/只

文章figure7 miR-342-5p对于运动诱导的心脏保护至关重要
联系我们
返回顶部




