查看更多
明星产品
干货推荐
关注我们
扫码关注我们
了解更多信息
结直肠癌癌症(CRC)是全球最常见的癌症之一,发病率排名第三,死亡率排名第二。CRC的进展受遗传和环境因素的共同影响,其中遗传因素的贡献率约为35%。新出现的证据表明,肿瘤内微生物群(intratumoral microbiota)在癌症的发展中发挥着重要作用,微生物群失调会显著影响癌症的进展和治疗反应。然而,宿主遗传和肿瘤内微生物群之间的关系,以及它们在结直肠癌(CRC)进展中的相互作用,尚未得到充分研究。

2025年4月29日,来自中山大学陈海涛、周家铭、中国科学院广州生物医药与健康研究院吴柏星、香港大学那溶作为共同通讯在Cell Host & Microbe(IF=20.6)杂志发表题为“An interplay between human genetics and intratumoral microbiota in the progression of colorectal cancer”的研究论文,该研究揭示了人类遗传学和肿瘤内微生物群在结直肠癌进展中的相互作用。值得注意的是,在本研究中,作者使用汉恒生物提供的腺相关病毒AAV2/9-m-shNC/Shkcnj11成功在小鼠体内实现了Shkcnj11基因的敲低。

为探究肿瘤内微生物群与人类遗传特征的关联,作者收集了243例结直肠癌(CRC)患者的肿瘤组织及配对的癌旁正常组织(距离肿瘤边缘≥3 cm)。正常组织进行全基因组亚洲人群专用芯片(ASA)分型,肿瘤组织进行16S rRNA测序。原始ASA芯片包含743,722个单核苷酸多态性(SNP),经过基因型填充分析和质量控制(QC)流程后,共保留1,927,959个SNP。基于相对丰度大于1%的标准,筛选出10个微生物属用于进一步的全基因组关联研究(GWAS)。当应用全基因组显著性阈值(p<2.59×10-⁹)时,这10个微生物属中有3个与至少一个SNP显著相关:梭杆菌属(Fusobacterium)、微小单胞菌属(Parvimonas)和链球菌属(Streptococcus)。聚类匹配和置换程序(CLUMP)分析发现了三个重要的SNP,第一个SNP是rs2355016,根据GRCh37/hg19基因组组装,其位于KCNJ11基因的内含子区域,且与梭杆菌属(Fusobacterium)的丰度显著相关。第二个SNP是rs57050043,位于微管蛋白特异性伴侣D(TBCD)基因的内含子区域,与微小单胞菌属(Parvimonas)的丰度显著相关。第三个SNP是rs113968167,位于整合素α-E(ITGAE)基因的内含子区域,与链球菌属(Streptococcus)的丰度显著相关。这些分析表明,人类遗传多态性与结直肠癌(CRC)患者肿瘤内特定微生物的富集之间存在关联。

图1 肿瘤内微生物类群的GWAS分析
为了阐明上述研究结果与结直肠癌(CRC)患者临床特征之间的关联,作者评估了这三种遗传变异与CRC患者临床特征的对应关系。结果表明,与携带GG基因型的患者相比,携带rs2355016 AG/AA基因型的CRC患者预后显著更差。后续的线性判别分析效应量(LEfSe)分析显示,梭杆菌属(Fusobacterium)在rs2355016 AG/AA 基因型患者中显著富集,而GG基因型患者中则无此现象。此外,与GG基因型患者相比,AG/AA基因型患者的血清癌胚抗原(CEA)平均水平更高,Ki67+肿瘤细胞比例更高,平均肿瘤体积更大。值得注意的是,梭杆菌属的丰度与肿瘤大小呈显著正相关。然而,SNP rs57050043的不同基因型和SNP rs113968167的不同基因型在这些临床指标上均未观察到显著差异。这些结果表明,rs2355016 AG/AA基因型与梭杆菌属富集及CRC患者预后不良之间存在相关性。

图2 CRC患者遗传变异与临床特征的相关性
为了探究梭杆菌属(Fusobacterium)中哪些菌种与SNP rs2355016基因型的关联最为显著,作者选取了代表该属的每个扩增子序列变体(ASV),并将其与NCBI 16S BLAST数据库进行比对,以鉴定具体菌种。比对结果显示,在结直肠癌(CRC)肿瘤中检测到的梭杆菌属主要包括具核梭杆菌(F. nucleatum)、变异梭杆菌(F. varium)、运动梭杆菌(F. motiferum)和牙周梭杆菌(F. periodonticum)。值得注意的是,具核梭杆菌是优势菌种,在发现队列中占梭杆菌属的71.47%,在验证队列1中占64.24%,在验证队列2中占67.04%。此外,在三个队列中,具核梭杆菌均在携带rs2355016 AG/AA基因型患者的CRC组织中富集,且其丰度与肿瘤体积呈显著正相关。这些发现共同表明,rs2355016 AG/AA基因型可能增加肿瘤组织中具核梭杆菌属(尤其是具核梭杆菌)的丰度,并与肿瘤体积呈正相关。

图3 利用SNP rs2355016确定确切梭杆菌种类的相互作用
基于上述分析,携带rs2355016 AG/AA基因型的患者可能导致肿瘤细胞中邻近基因的异常表达。作者推测这种异常表达会增加具核梭杆菌与肿瘤细胞的结合亲和力,从而促进其在肿瘤组织中的富集。与推测一致,Genotype-Tissue Expression(GTEx)数据库显示,结肠组织中KCNJ11 mRNA的表达受SNP rs2355016调控,rs2355016 AG/AA基因型患者的KCNJ11表达水平显著低于GG基因型患者。为验证这一推测,根据年龄、性别、肿瘤分期等因素,从发现队列中匹配25例rs2355016 AG/AA基因型患者和25例GG基因型患者。通过qPCR实验定量检测CRC肿瘤组织中KCNJ11 mRNA的表达水平,结果显示CRC患者正常组织与肿瘤组织中的KCNJ11表达无显著差异,但肿瘤组织中AG/AA基因型患者的KCNJ11表达显著低于GG基因型患者。随后进行免疫组织化学(IHC)和荧光原位杂交(FISH)实验,评估rs2355016基因型、KCNJ11表达水平与具核梭杆菌丰度的关系。IHC实验结果显示,AG/AA基因型患者的KCNJ11蛋白水平显著低于GG基因型患者。相反,AG/AA基因型患者的具核梭杆菌丰度(单位面积具核梭杆菌计数)显著高于GG基因型患者,而不同基因型患者的总细菌(单位面积EUB338计数)差异不显著。这些实验表明,rs2355016 AG/AA基因型可能下调KCNJ11蛋白表达,且与具核梭杆菌丰度负相关。

图4 SNP rs2355016AG/AA基因型下调KCNJ11的表达
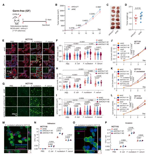
为探究SNP rs2355016基因型促进肿瘤生长是仅由KCNJ11表达水平降低所致,还是KCNJ11表达减少与具核梭杆菌富集的共同作用结果,作者在两种结直肠癌细胞系(HCT116和MC38)中敲低KCNJ11。CCK-8检测结果显示,KCNJ11基因敲低不影响结直肠癌细胞的增殖。为进一步验证该结果并排除宿主微生物群的影响,作者使用无菌小鼠建立皮下肿瘤模型。结果表明,MC38细胞中KCNJ11基因敲低不影响无菌小鼠的肿瘤生长。随后,将敲低或未敲低KCNJ11基因的HCT116和MC38细胞系与从结直肠癌患者肿瘤组织中分离的具核梭杆菌共培养,另外两种分离菌株(大肠杆菌和变异梭杆菌)作为阴性对照,且在两个队列中不同rs2355016基因型患者间的丰度无显著差异。结果显示,与具核梭杆菌共培养可显著上调结直肠癌细胞中的Ki67蛋白水平,尤其是在KCNJ11敲低的结直肠癌细胞中。此外,通过三维球体实验(3Dsphere assay)和CCK-8检测评估,具核梭杆菌还可促进两种结直肠癌细胞系的细胞增殖,尤其是在KCNJ11敲低的结直肠癌细胞中。相比之下,尽管变异梭杆菌也可促进结直肠癌细胞增殖,但其作用不受KCNJ11表达水平的影响。实验结果证实,KCNJ11表达下调对结直肠癌细胞生长的促进作用依赖于其与具核梭杆菌的相互作用。

图5 抑制KCNJ11表达通过结合更多的具核梭杆菌(F. nucleatum)促进CRC细胞生长
基于体外观察到的KCNJ11敲低与具核梭杆菌富集的相互作用,作者接着在CRC小鼠模型中评估KCNJ11下调的体内效应。首先构建CRC原位小鼠模型,qPCR结果显示粪便和肿瘤组织中无具核梭杆菌,表明具核梭杆菌不是小鼠的共生菌,因此后续实验中需要外源性补充具核梭杆菌。作者设计了用于培养具核梭杆菌的选择性平板,以定量小鼠CRC组织中的细菌,对照使用氯霉素+平板培养的大肠杆菌。通过盲肠注射MC38-shkcnj11或shNC(阴性对照)细胞,随后通过尾静脉注射补充培养的具核梭杆菌或大肠杆菌,建立了CRC原位模型。不同组间的肿瘤重量和细菌定植比较证实,具核梭杆菌可促进MC38-shkcnj11组的肿瘤生长,并增加Ki67+细胞比例。此外,细菌培养和FISH结果显示,具核梭杆菌在MC38-shkcnj11组的肿瘤组织中富集,而大肠杆菌组则无此现象。接着,作者使用腺相关病毒(AAV2/9-shKcnj11/shNC)干扰另一种CRC小鼠模型(AOM/DSS)中KCNJ11基因的表达,发现在AAV2/9-shkcnj11处理的小鼠中,具核梭杆菌的存在与肿瘤体积增大和Ki67+细胞比例升高显著相关,这与上述CRC原位模型小鼠实验结果一致。这些体内实验证实,KCNJ11表达下调可通过增加具核梭杆菌丰度促进肿瘤生长。

图6 抑制结直肠癌细胞中KCNJ11的表达通过结合更多的具核梭杆菌(F. nucleatum)促进体内肿瘤生长
具核梭杆菌通过表面蛋白FadA、RadD和Fap2识别宿主细胞E-钙粘蛋白、CD147和Gal-GalNAc,介导对结直肠癌细胞的黏附与侵袭。研究发现,KCNJ11敲低不影响CD147和E-钙粘蛋白表达,但显著提升结直肠癌细胞膜Gal-GalNAc水平,且rs2355016 AG/AA基因型患者的Gal-GalNAc水平更高,提示其与KCNJ11蛋白水平呈负相关。血凝试验显示,具核梭杆菌的血凝效应可被GalNAc抑制,其Fap2蛋白通过结合Gal-GalNAc介导黏附。全基因组测序证实fap2基因仅存在于具核梭杆菌,且GalNAc消耗Fap2后,具核梭杆菌黏附侵袭能力呈浓度依赖性下降,其促增殖作用在KCNJ11敲低细胞中不再显著。综上,KCNJ11下调通过增强Gal-GalNAc表达促进具核梭杆菌Fap2结合,加速肿瘤增殖。

图7 下调KCNJ11可以通过增强Gal-GalNAc的表达来增加具核梭杆菌(F. nucleatum)的结合
在本研究中,作者系统评估了CRC患者宿主遗传学与肿瘤内微生物群的关联。研究发现,KCNJ11基因附近的SNP rs2355016与CRC肿瘤组织中具核梭杆菌(F. nucleatum)的丰度显著相关。进一步分析显示,携带rs2355016 AG/AA基因型的患者KCNJ11表达水平显著低于GG基因型患者。此外,KCNJ11表达下调会升高肿瘤细胞中Gal-GalNAc(半乳糖-N-乙酰半乳糖胺)的表达水平,其可被具核梭杆菌的Fap2蛋白识别,从而促进具核梭杆菌对CRC肿瘤细胞的黏附与侵袭,最终增强肿瘤增殖。

查看更多

查看更多

查看更多
联系我们
返回顶部